ANWENDUNGSWEISE
Zahnreinigung
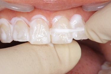
Die Anwendung kann je nach Zustand und Bedarf des Patienten unterschiedlich sein. Generell sollte APAPRO aber auf eine saubere Zahnoberfläche aufgetragen werden, entweder mit einem an ein dentales Winkelstück angebrachten Gumminapf oder einem ähnlichen weichen Polieraufsatz, oder mit einer auf das Gebiss des Patienten individuell angepassten Zahnschiene. Es wird eine sehr schonende, wenn möglich nicht mechanische Reinigung empfohlen, z.B. mit einem Lösungsmittel wie Natriumhypochlorit (NaOCl) Gel, das organische Substanzen wie Plaque und Flecken oder, im Falle von freiliegendem Dentin, auch Kollagenfasern entfernen kann.
Das Gel sollte mit einer Einbüschelbürste oder einem ähnlichen Handinstrument für 20-30 Sekunden (bis zu 1 Minute bei hartnäckigen Verfärbungen) auf jede Zahnoberfläche aufgetragen werden – wobei darauf zu achten ist, dass kein Zahnfleischkontakt entsteht. Es sollten jeweils nur wenige Zähne gleichzeitig behandelt werden. Wenn eine mechanische Reinigung unvermeidlich ist, wird eine Prophylaxepaste mit möglichst geringer RDA-Abrasivität empfohlen.
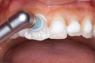
Auftragen mit einem Gumminapf
Wenn die Paste auf alle Zähne aufgetragen wird, z.B. zur allgemeinen Pflege, sollten etwa 2 g (etwa ein 2 cm breiter Streifen) Paste für die oberen Zähne und eine ähnliche Menge für die unteren Zähne verwendet werden, wobei eine kleine Menge mit dem Gumminapf auf jeden einzelnen Zahn aufgetragen werden sollte.
Zur allgmeinen Anwendung verwenden Sie jeweils 1-2 g (etwa einen 1-2 cm langen Streifen) APAPRO für das obere und untere Gebiss,
oder die gleiche Menge für jeden einzelnen Zahn, der eine spezifischere Versorgung benötigt.
oder die gleiche Menge für jeden einzelnen Zahn, der eine spezifischere Versorgung benötigt.
Durch Verwendung des Gumminapfes bei niedriger Drehzahl (500-750 U/min) wird die Paste 20-30 Sekunden lang bei besonders pflegebedürftigen Oberflächen und 5-10 Sekunden für die allgemeine Pflege sanft in die Zahnoberfläche einmassiert, bis nur noch eine kleine Menge der Paste auf den Zähnen verbleibt. Es ist darauf zu achten, dass die gesamte Oberfläche jedes Zahnes, einschließlich der interproximalen Winkel und um den Zahnfleischrand herum bis zur Bisskante, massiert wird.
APAPRO bei niedriger Drehzahl (500-750 U/min) in jeden Zahn einmassieren, bis nur noch eine kleine Menge der Paste übrig bleibt
Ungewachste Mikrofaser oder Schwamm Zahnseide sollte verwendet werden, um die Paste zum Schutz vor interproximaler Karies in den Zahnzwischenräumen zu verteilen. Abschließend leicht mit Wasser abspülen.
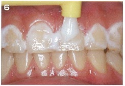
Anwendung in einer maßgefertigten Zahnschiene
Je nach den Bedürfnissen des Patienten wird auch die Anwendung in der Praxis mit einer individuell für das Gebiss des Patienten gefertigten Zahnschiene empfohlen. Bei starkem Oberflächenabrieb, Überempfindlichkeit des Dentins oder Mineralverlust, bei denen eine Behandlung über längere Zeit ratsam ist, kann die professionelle Versorgung ergänzt werden, indem dem Patienten eine individuell angepasste Schiene und eine Einzelpackung APAPRO Paste zur Verfügung gestellt werden, zur einmal täglichen oder wöchentlichen Anwendung zu Hause entsprechend den Anweisungen des Zahnarztes. Die Patienten sollten die Paste vorzugsweise nach dem Zähneputzen vor dem Schlafengehen verwenden, die Paste dünn in der Schiene verteilen und die Schiene nach Anweisung 5 Minuten lang fest auf den Zähnen platzieren. Danach die Schiene herausnehmen und waschen und den Mund leicht mit Wasser ausspülen.